دندان های سالم و قوی به شما کمک می کنند تا از غذاهای مناسب برای کمک به رشد خود استفاده کنید.
دندان ها بدون شک از مهم ترین اجزای صورت و بدن می باشد. به همین خاطر دندان های سالم و مرتب نه تنها باعث حفظ ایمنی بدن هستند بلکه موجب زیباتر شدن چهره و طرح لبخند شما می شوند.
دندان های شما از بسیاری جهات مهم هستند. اگر از آنها مراقبت کنید، آنها نیز به شما کمک خواهند کرد. دندان های سالم و قوی به شما کمک می کنند تا از غذاهای مناسب برای کمک به رشد خود استفاده کنید. آنها به شما کمک می کنند تا به روشنی صحبت کنید و هم چنین تاثیر بسیار زیادی در زیبایی صورت شما دارند، برای اثبات این مورد کافی است به افرادی که متاسفانه از بی دندانی رنج می برند یا دندان های نا مناسب دارند توجه کنید، متوجه می شوید که داشتن دندان های زیبا و البته سالم چه رابطه ای با اعتماد به نفس افراد دارد.
مراقبت از دندان شامل نکات قبل از درمان یا پس از درمان نیز می باشد. مثلا اگر کاشت دندان انجام داده باشید باید مراقبت از ایمپلنت را بسیار جدی بگیرید. در این صورت علاوه بر آسیب به دندان ایمپلنت شده از پوسیدگی سایر دندان های طبیعی نیز جلوگیری می کنید.
گذشت زمان و همچنین افزایش طول عمر بر سلامت دندان ها تاثیر مستقیمی دارد بدین گونه که افزایش سن یکی از عامل هایی است که باعث پوسیدگی دندان های می شود. از طرفی دیگر بسیاری از عوامل و اختلالاتی وجود دارد که در سنین جوانی رخ می دهد و اگر به موقع به آن ها رسیدگی نشود موجب از دست رفتن دندان ها می گردد. در این زمان است که باید از روش های مختلفی چون کاشت ایمپلنت، دندان مصنوعی و… جهت جایگزینی مجدد دندان از دست رفته استفاده کنید.

وقتی دندان پوسیده می شود، دندانپزشک برای جلوگیری از پیشرفت پوسیدگی و رسیدن آن به ریشه دندان به ترمیم دندان می پردازد. دندانپزشک قسمت های پوسیده و مرده دندان را خالی می کند. و وقتی داخل دندان خالی شد، با یک ماده حفره های داخلی را پر می کند.
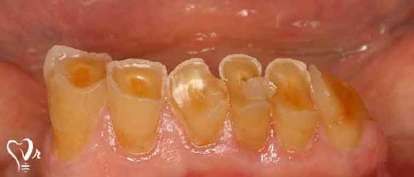
اگر دقت کرده باشید اغلب مردم حداقل یک دندان پر کرده شده دارند. موادی که با آنها دندان ها را ترمیم می کنند به رنگ سفید یا سیاه است.
خب بهتر است به عقب برگردیم و ببینیم که یک دندان چگونه پوسیده می شود؟ وقتی فرد بعد از هر وعده غذایی، دندان های خود را مسواک نزند و از نخ دندان استفاده نکند، مواد غذایی میان دندان ها از بین نرفته و تا مدت ها در همان جا باقی می مانند.
با گذشت زمان و افزایش مواد غذایی میان دندان ها، پلاک های دندانی به وجود می آیند، پلاک های دندانی با انتشار باکتری های قوی باعث پوسیدگی می شوند. پلاک ها در میان دندان ها و همچنین در امتداد خط لثه رشد می کنند. باکتری های انتشار یافته با نفوذ به تاج و مینای دندان وارد بافت دندان می شوند.

هر چه زمان بگذرد، و پوسیدگی دندان ترمیم نشود، پیشرفت باکتری ها بیشتر شده و به ریشه دندان می رسد. در این زمان است که ریشه دندان نیاز به درمان دارد و به اصطلاح عصب کشی دندان انجام می شود.
اسیدی که باکتری ها تولید می کنند به راحتی تاج و مینای دندان را از بین می برند. با آنکه جنس دندان بسیار مستحکم است اما در برابر این اسید مقاومت زیادی نخواهد داشت. این اسید با بزاق دندان همراه شده و آرام آرام در دندان نفوذ می کنند. و در نهایت ممکن است باعث از دست رفتن کامل دندان شود، چه پایان غم انگیزی!! بیایید با یک مثال بحثمان را ادامه دهیم.
همه ما حتما یک یا چند بار دیدهایم که کنار خیابان یا در جاده ماشینی توقف کرده و راننده آن در حال تکان دادن دست است. ممکن است ماشین خراب شده باشد یا بنزین آن تمام شده باشد، ممکن است ماشین جوش آورده باشد یا تسمه تایم پاره کرده باشد. در هر صورت، یک علتی از خرابی ایجاد شده است. اما آیا ماشین ناگهان خراب میشود یا ناگهان جوش میآورد یا تسمه تایم پاره میکند؟ جواب این سوال، خیر است.
حتما قبل از اتمام بنزین یا خرابی ماشین یا جوش آوردن آن یا پاره شدن تسمه تایم، علایمی وجود داشته است که راننده را از خرابی ماشین در آینده آگاه کند اما چون راننده بیتوجهی کرده است ماشینش خراب شده یا بنزین تمام کرده است.
حال اگر بخواهیم این مثال را برای اعضای بدن و سلامتی بدن مان تعمیم دهیم شاید به مانند اتفاقی که برای ماشین مان می افتد ملموس نباشد.
مثلا در مورد از دست دادن دندانها و خرابی و پوسیدگی آن هم مثال ماشین را میتوان در نظر گرفت. اگر به یک درد ساده و ناراحتی کوچک یا التهاب و خونریزی لثه توجه کرده و به دندان پزشکی مراجعه کنیم، در آینده نیاز به درمان های پیچیدهتر و هزینه های بالاتر و تعداد جلسات درمانی بیشتر نخواهیم داشت. مزیت مراجعه به دندان پزشک چند چیز است.
ما وقتی ماشین خود را برای چک کردن یا تعمیر یک قطعه به مکانیکی می بریم، از خرابی بخشهای دیگر نیز اگاه میشویم. مکانیک موارد دیگر را نیز چک میکند و به ما در مورد خرابی آن در آینده هشدار میدهد.
برای سلامتی اعضای بدن هم بهتر است ابتدا اقدامات پیشگیرانهای انجام دهیم. این اقدامات پیشگیرانه، یک مسواک زدن ساده، استفاده از دهان شویه، کشیدن نخ دندان در روز و یا همان چکاب ساده است. یک جرمگیری ساده نیز میتواند از اقدامات پیشگیرانه تلقی شود.

گاهی بیماران از هزینه های بالای دندان پزشکی شکایت میکنند درحالیکه واقعا هزینه های بالای آن مسئله اصلی نیست، چرا که اگر در زندگی آنها جستجو کرده و از آنها سوال کنیم کلی هزینههای دیگر نیز انجام میدهند که شاید اولویت زیادی نسبت به درمان دندانپزشکی و سلامت آنها ندارند.
مثل اینکه بسیاری از افراد باند ماشین خود را بهترین سیستم انتخاب میکنند یا لوازم زینتی منزل و دکوراسیون برایشان بسیار اهمیت دارد و برایش هزینه میکنند. حتی رینگ و تجهیزات جانبی ماشین برایشان مهم است همچنین لباسی که انتخاب میکنند و یا برای غذای خود بسیار هزینه میکنند، اما وقتی نوبت به دندان پزشکی و رسیدگی به سلامتی شان میرسد از هزینه بالای آن شکایت میکنند. اما باید توجه داشت در کنار هزینه های بالای دندان پزشکی ایجاد عفونت های لثه و استخوان، آبسه دندان یا لثه، مشکلات لثه ای، بوی بد دهان، جرم های زیاد که خود منجر به پوسیدگی های بیشتر میشود. عوارض این مشکلات بیشتر از هزینه های دندان پزشکی است.
گاهی هم انقدر دیر به مطب مراجعه میکنیم که کار به کشیدن دندان میرسد. حتی بعضی مواقع عصبکشی ها و ترمیم های مجدد نیز جواب نمیدهد و درد همراه با تخریب مقدار زیادی استخوان همراه است که نیاز است کارهای درمانی پیچیده تر برای بیمار انجام دهیم. اگر به دندانپزشکی مراجعه کنیم قبل از اینکه نیاز مبرم داشته باشیم، دندان پزشک، دندان های ما را چک میکند و به ما هشدار های لازم را می دهد.
بعضی مواقع رژیم غذایی و عادات بد مانند خوردن قند زیاد همراه چایی، خوردن نوشابه در دفعات زیاد، مکیدن لیمو که باعث سایش دندان می شود، کشیدن سیگار و... در زندگی ما وجود دارد که مورد بی توجهی بیمار قرار میگیرد. وقتی که از این کارها را اطلاع پیدا کنیم، می توانیم آن را قطع کنیم تا منجر به مشکلات لثهای یا مشکلات دندان نشود.
و در نهایت نوشیدن آب ارتباط مستقیمی با سلامتی بدن دارد به همین خاطر این مورد به یکی از نکته های مهم مراقبت از دندان ها تبدیل گشته است. زیرا مصرف آب زیاد در طول روز می تواند مواد چسبنده در دهان و دندان ها را پاک کند. این عمل در آخر موجب کاهش فرسودگی دندان ها و افزایش طول عمر آن ها می شود. لذا برای بهره مندی از دندان هایی سالم و زیبا میزان مصرف آب را در طول روز افزایش دهید.
پس می بینیم مراجعه ساده به دندان پزشک و آگاهی از درمان و چکاب، میتواند از موارد شدیدتر آن جلوگیری کند.
شاد و پیروز و سلامت باشید.
منبع سایت دکتر علی سجودی
در یادداشتی اختصاصی برای جام جم آنلاین مطرح شد
در یادداشتی اختصاصی برای جام جم آنلاین مطرح شد
عضو دفتر حفظ و نشر آثار رهبر انقلاب در گفتگو با جام جم آنلاین مطرح کرد
تهیهکننده و کارگردان مستند رئالیتی «کارخنده» درباره چالشهای تولید این برنامه و تغییرات در فصل چهارم آن توضیح میدهد
فیلمساز بوشهری معتقد است سینمای ماندگار، بازتابی از ملاقات انسان با خویشتنِ خویش و سیر درونی اوست.