ببینید | اختلال خواب را جدی بگیرید

ببینید | اختلال خواب را جدی بگیرید

۰۲ آبان ۱۴۰۱ - ۱۳:۰۸ | نظر

خواب منظم و کافی یکی از راه‌های تامین اکسیژن سلول‌ های بدن است که افراد درگیر با عارضه کم خوابی باید نسبت به درمان این مشکل اقدام جدی داشته باشند.

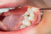
ببینید | آشنایی با انواع پوسیدگی دندان

ببینید | آشنایی با انواع پوسیدگی دندان

۰۲ آبان ۱۴۰۱ - ۱۳:۰۱ | نظر

پوسیدگی دندان براثر مرور زمان و با رعایت نکردن برخی نکات بهداشتی و تغذیه‌ای ایجاد می‌شود که درصورت عدم درمان به موقع می‌تواند مشکلاتی را برای فرد به همراه داشته باشد.

خبر مهم مقام دولتی درباره کمبود آنتی‌بیوتیک کودکان

مشاور رییس سازمان غذا و دارو اعلام کرد

خبر مهم مقام دولتی درباره کمبود آنتی‌بیوتیک کودکان

۰۲ آبان ۱۴۰۱ - ۱۲:۲۳ | نظر

مشاور رییس سازمان غذا و دارو، تجویز بی‌رویه و مصرف بیش از اندازه را علت کمبود مقطعی شربت آنتی‌بیوتیک کودکان و سرم‌های تزریقی در کشور خواند و ضمن اعلام رفع کمبود سرم و تامین کافی آن، در عین حال تاکیدکرد که به دنبال فعالیت سه شیفت تولیدکنندگان داخلی و اقدامات انجام شده برای واردات، هفته آینده مشکل آنتی‌بیوتیک کودکان نیز رفع خواهد شد.

کمبود دارو در روزهای آینده به حداقل ممکن خواهد رسید

معاون سازمان غذا و دارو کشور:

کمبود دارو در روزهای آینده به حداقل ممکن خواهد رسید

۰۱ آبان ۱۴۰۱ - ۱۸:۲۸ | نظر

معاون توسعه مدیریت و منابع سازمان غذا و داروی کشور گفت: کمبود دارو در روزهای آینده با برنامه‌ریزی‌ وزارت بهداشت و سازمان غذا و دارو، به حداقل ممکن خواهد رسید و مردم در کوتاه‌ترین زمان به دارو دسترسی پیدا خواهند کرد.

ببینید | راهکار‌هایی برای کاهش کمر درد

ببینید | راهکار‌هایی برای کاهش کمر درد

۰۱ آبان ۱۴۰۱ - ۱۶:۱۷ | نظر

ستون فقرات نقش مهمی در حفظ تعادل و راه رفتن انسان دارد که با انجام برخی تمرینات ورزشی مناسب می‌توان به تقویت کمر و ستون فقرات کمک کرد.

ببینید | آشنایی با ورزش کانگو جامپ

ببینید | آشنایی با ورزش کانگو جامپ

۰۱ آبان ۱۴۰۱ - ۱۵:۰۳ | نظر

یکی از ورزش‌های جدید که به وسیله کفش مخصوص انجام می‌شود کانگو جامپ نام دارد. این ورزش هوازی برای کاهش وزن و فرم دادن به ماهیچه‌ها مناسب است.

شورش آنفلوآنزا در ایران؛ چکارکنیم آنفلوآنزا نگیریم؟

شورش آنفلوآنزا در ایران؛ چکارکنیم آنفلوآنزا نگیریم؟

۰۱ آبان ۱۴۰۱ - ۰۹:۴۱ | نظر

این روز‌ها با سرد شدن تدریجی هوا بازار بیماری‌های ویروسی گرم شده و سروکله ویروس آنفلوآنزا زودتر پیدا شده است؛ در نتیجه استفاده از ماسک و رعایت پروتکل‌های بهداشتی، امری ضروری و عامل مهمی در پیشگیری از ابتلا به این بیماری است.

احتمال شیوع وسیع کرونا پس از موج آنفلوآنزا

رئیس کارگروه نظارت و بازرسی قرارگاه عملیاتی ستاد ملی کرونا اعلام کرد

احتمال شیوع وسیع کرونا پس از موج آنفلوآنزا

۳۰ مهر ۱۴۰۱ - ۱۹:۰۰ | نظر

معاون امور استان‌های سازمان پدافند غیر عامل کشور و رئیس کارگروه نظارت و بازرسی قرارگاه عملیاتی ستاد ملی کرونا با اشاره به اهمیت پدافند غیر عامل، گفت: پدافند غیر عامل باید در کشور تبدیل به فرهنگ شود.